Categories
Diagnostic Imaging
Successful heart surgery for Stanley after suffering with complex heart problem
Diagnostic Imaging, Eastcott Blogs, General Blog and News |
A dog suffering from a complex heart problem was able to return to his grateful owners just 24 hours ...
What’s your diagnosis? Computed Tomography Case 6
Diagnostic Imaging |
How Computed Tomography can help us in the diagnosis of diseases of the head An 11-year-old cocker spaniel was ...
What’s your diagnosis? Computed Tomography Case 5
Diagnostic Imaging |
How Computed Tomography can help us in the diagnosis of diseases of the head A 3-year-old Siberian husky was ...
What’s your diagnosis? Computed Tomography Case 4
Diagnostic Imaging |
How Computed Tomography can help us in the diagnosis of diseases of the head A 8-year-old cocker spaniel was ...
What’s your diagnosis? Computed Tomography Case 3
Diagnostic Imaging |
A 7-years-old Labrador was presented to with lethargy, anorexia and exophthalmos. A CT scan of the head revealed the ...
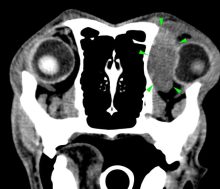
What’s your diagnosis? Computed Tomography Case 2
Diagnostic Imaging |
A 10-year-old Staffordshire bull terrier was referred to Eastcott due to a left sided facial swelling, temporal muscle wastage ...
How Computed Tomography can help us in the diagnosis of diseases of the head
Diagnostic Imaging |
What’s your diagnosis…? A 6-month-old West Highland White Terrier was referred to our hospital due to severe oral pain ...
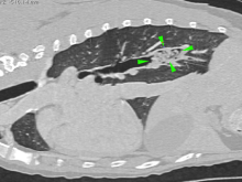
CT Visualisation of Deep Vegetal Foreign Bodies
Diagnostic Imaging |
Soft Tissue Referral Team take advantage of the Diagnostic Imaging Department for the visualisation of deep vegetal foreign bodies ...
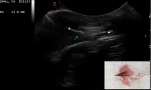
Ultrasound Aided Retrieval of Vegetal Foreign Bodies
Diagnostic Imaging |
Soft Tissue Referral Service takes advantage of Diagnostic Imaging for locating plant awns/grass seeds in dogs Safe and minimally ...