Categories
Caudal Mandibular Fractures

We have been collaborating with James Sage and Dan Jones from Fusion Implants and Ben Walton from ChesterGates Veterinary Specialists to design a range of 3D printed custom Titanium plates for caudal mandibular fractures in cats.
Data was taken from a number of CT scans of un-fractured mandibles and used to design a range of custom plates that should fit most cats and be suitable for the common fracture patterns in this area. Caudal mandibular fractures in cats are challenging because the ramus is usually less than 2.5cm tall, in some areas only 1.5mm thick and access to the surgical site is limited.
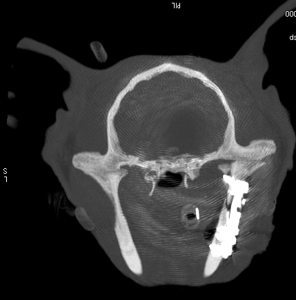
We used a plate for the first case last week on a vertical fracture of the right mandibular ramus. The plate adapted to the mandible and helped to reduce the fracture very well and our patient was eating the day after surgery. Where applicable we believe that internal rigid fixation has considerable advantages over other commonly used techniques such as maxillo-mandibular fixation (MMF). The plates were printed by Fusion Implants and James led the design project. Thanks guys for your hard work.

Surgical approach and application of the custom 3D printed Titanium plate to the fractured right mandibular ramus

Both post op CT scans – Axial image from a post-operative CT scan showing excellent reduction of the fracture