Categories
Hip Replacement Surgery
Total Hip Replacement Surgery in Dogs
We are now offering total hip replacement using the well-developed and successful Biomedtrix Universal Hip system. Total hip replacement can be a very effective salvage surgery for a number of conditions leading to pain or loss of hip function, including hip dysplasia, chronic hip luxation and femoral head fractures.
Marley a seven-year-old male English Springer Spaniel was presented with a history of progressively worsening hind limb lameness secondary to arthritis of the left hip.

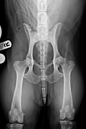
Pre-operative ventrodorsal radiograph of the pelvis showing osteoarthritis of the left hip joint
Despite conservative treatment with weight control, hydrotherapy, physiotherapy and multimodal analgesia he was increasingly unable to exercise and reluctant to perform normal day to day tasks. After failing to improve with conservative treatment the decision was made to perform a total hip replacement. A hybrid technique was used with a cementless acetabular component and a cemented femoral stem. He made an excellent recovery following surgery and has now been able to return to hour long walks during which he is happy to run freely. He has also been able to come off all analgesics.

Post-operative ventrodorsal radiograph of the pelvis immediately after total hip replacement using a Biomedtrix BFX cementless acetabular component and CFX cemented femoral stem
Total hip replacement can offer an excellent outcome for dogs like Marley. However, it is a major surgical procedure and dogs are thoroughly assessed for suitability and clients are counselled regarding the expected outcomes and potential complications of surgery.
