Categories
Jaw Reconstruction Surgery
Jaw Reconstruction Surgery
UK First for Cutting-Edge Jaw Reconstruction Surgery
The Eastcott Referral dentistry and oral surgery team, led by Peter Southerden, has become the first in the UK to use a cutting-edge jaw reconstruction technique in dogs, using prosthetic titanium implants created on a 3D printer. The team has carried out its first two reconstructions following oral tumour resection, both of which have proved successful.
Use of patient-specific implants (PSI) for jaw reconstruction is a new technique, which provides an alternative to bone regenerative techniques which have previously been used with success at Eastcott. The techniques can be used in cases which have had significant jaw resection or need reconstructive surgery after a trauma.
To our knowledge, using this technique to create patient-specific implants for rostral mandibular reconstruction following bilateral rostral mandibulectomy has not been reported in dogs before. The reconstructive surgery involves taking pre and post-operative CT scans of the affected area and sending them to a specialist human medical PSI design company, which then uses 3D titanium printing technology to recreate the missing bone.
Fig 1: 3D printed cutting and drill guide. This allows precise screw placement avoiding the mandibular canal and tooth roots
Fig 2: 3D printed titanium patient specific implant showing the mesh structure to promote bone integration

Fig 3: The cutting guide allows for accurate cutting of the mandibles providing for precise fitting of the prosthesis
Fig 4: The patient specific implant is attached prior to wound closure

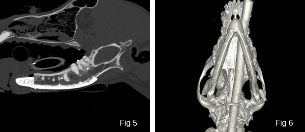
Fig. 5 & 6: CT scans showing the reconstruction of the jaw with a 3D printed titanium patient-specific implant
In the first two cases, both dogs are doing really well. The feedback received from owners suggests their dogs have gained significant benefit from their jaw reconstruction process.
Fig. 7: Edward, an 11-month-old male Airedale Terrier, pictured two months on from his jaw reconstruction after the removal of a tumour
The Oral and Maxillofacial Surgery team is made up of Peter Southerden BVSc MBA DipEVDC MRCVS RCVS Recognised and European Veterinary Specialist in Dentistry, Andrew Perry BVSc Dip EVDC MRCVS, European Veterinary Specialist in Dentistry.There are very few people with specialist qualifications in this field, possibly only six in the UK and Eastcott Referrals are the only team working with the backup of a multi-disciplinary referral hospital.They are a highly experienced team and are well placed to deal with a big caseload and see a wide range of different cases.