Categories
Locking Compression Plate and PAX Advanced Locking systems

Locking Compression Plate and PAX Advanced Locking systems
with Andy Morris
I have many interests within the field of veterinary orthopaedics and have recently published in JSAP on complication risks with cat tibial fracture repairs. I am enjoying using the Locking Compression Plate (LCP) and the PAX Advanced Locking systems. Understanding the correct application of these plating systems allows the successful treatment of fractures that might otherwise have proved difficult or prone to failure.
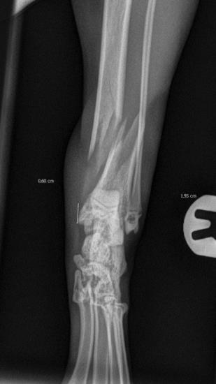
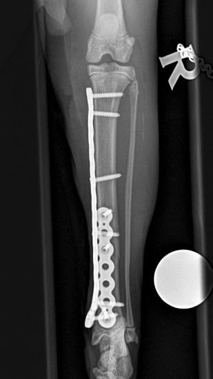
These radiographs show a distal tibial fracture in a six-month cat. Multiple fissure lines can be seen extending towards the distal tibial physis. The tibia is a common site of non-union in the cat and plate failure by bending following tibial fracture stabilisation is reported. In this case, an orthogonal plate has been applied to the cranial aspect of the tibia. This not only allows increased construct stiffness in the sagittal plane but provides for an additional screw fixation point. This can be very useful with distal fractures.




The cat, in this case, was allowed early ambulation and went on to make a full recovery. The PAX advanced locking system is well suited to cat fracture repairs such as this.