Categories
Management of hypocalcaemia following parathyroidectomy in a Ridgeback cross
ICU Case Study: Hypocalcaemia
Archie, a 9 year old male neutered Rhodesian Ridgeback Whippet cross, presented to Eastcott Referrals in late March. He had become progressively polydipsic, polyuric and lethargic over the past 3 months, but had deteriorated a few days prior to referral.
Our Internal Medicine team identified that Archie was markedly hypercalcaemic (ionised calcium 2.0 mmol/L, RI 1.12-1.33) and mildly azotaemic (creatinine 140 umol/L, RI <120). Archie was administered 0.9% sodium chloride intravenously which improved his mild azotaemia but had minimal impact on the severity of his hypercalcaemia.
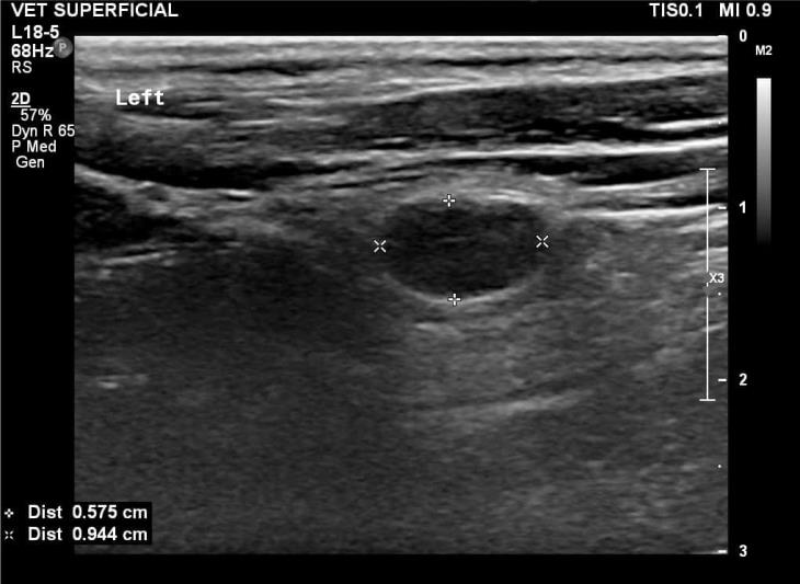
Initial diagnostic investigations revealed a large (6 x 9mm) cranial, external parathyroid nodule on the left, consistent with primary hyperparathyroidism. Archie underwent a general anaesthetic and unilateral parathyroidectomy.

Despite an initially smooth recovery, he developed signs of hypocalcaemia 72 hours post-surgery. He was moved to ICU for management of the hypocalcaemia with boluses of intravenous calcium gluconate. Whilst the three remaining parathyroid glands typically become functional again in the first few days post-surgery, Archie’s hypocalcaemia was so severe that he required an oral vitamin D analogue, alfacalcidiol, to help stabilise his condition.
Seventeen days post-surgery with intermittent hospitalisation and, Archie has become a top patient here at Eastcott Referrals and is now showing signs that his ionised calcium levels are stabilising well. We look forward to hearing about Archie’s beach walks once lockdown has been lifted!
