Categories
Proximal Ureteric Obstruction in a domestic shorthaired cat
Oliver, a 14-year-old male neutered domestic shorthaired cat, presented to our internal medicine team in April having become inappetent and lethargic a few days prior to referral.

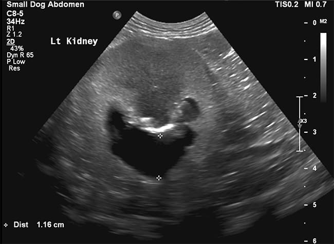
He was dehydrated on examination and also uncomfortable on palpation of his cranial abdomen. Initial diagnostics revealed a marked azotaemia (serum creatinine 500 umol/L, RI <140), therefore abdominal ultrasonography was performed to identify a potential underlying cause. Whilst his right kidney appeared small, fibrotic and likely end-staged, the left kidney was more appropriately sized but had significant pyelectasia (11 mm, RI < 2mm).

Given these changes, Oliver was diagnosed with a proximal ureteric obstruction. A midline laparotomy was performed by our soft tissue surgery team to enable placement of a subcutaneous ureteric bypass (SUB) system. This device involves implanting of one end of a tube into the dilated kidney and the other end into the bladder, thereby bypassing the ureteric obstruction. Once in place, the SUB system requires regular flushing to ensure that it remains patent.
Oliver recovered well from surgery but required ongoing fluid therapy to treat his post-obstructive diuresis and an oesophageal feeding tube to ensure he received adequate nutrition. After 4 days of hospitalisation, Oliver was discharged home to continue his post-operative recovery. Four months post-operatively and Oliver’s SUB system remains fully functional, with resolution of his inappetence, abdominal pain and significant azotaemia (146 umol/L, RI <140).