Categories
Securos PAX locking plate system in small animals
Securos Pax locking plate used to repair comminuted tibial and calcaneal fractures in a cat
We have introduced the Securos PAX locking plate system at Eastcott Veterinary Referrals. This is proving to be a useful system for the treatment of fractures and angular limb deformities in our practice. Some of the advantages of this system include:
- Locking screws which significantly reduces the chance of screw loosening and construct failure
- Polyaxial screw placement which means that screws do not have to be perpendicular to the plate and can be angled to engage the best available bone stock and avoid the joint and other implants.
- Fewer screws are needed per fragmented allowing reliable fixation of fractures close to the joint with minimal bone stock
- Implants are made of titanium alloy which is more bio-compatible than stainless steel
Recent case in which the Securos Pax locking plate system was used
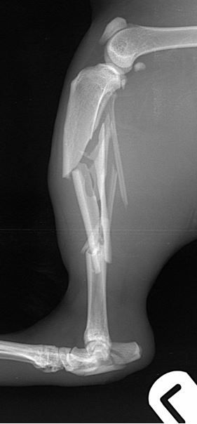
Fig. 1 A 6-year-old DSH cat with comminuted fractures of the tibia, fibula and calcaneus
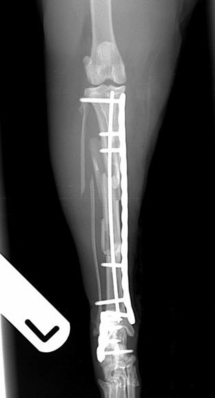
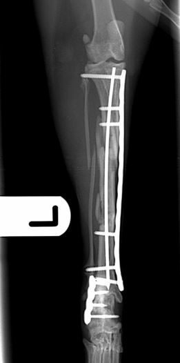
Fig. 2 Immediate post-operative radiographs. A 2.4mm PAX plate with an intra-medullary pin has been used to repair the tibial fracture. A 2.0mm PAX plate has been used to repair the comminuted calcaneal fracture
Fig. 3. Six weeks post-operative lateral and craniocaudal radiographs showing complete healing of the calcaneal fracture and excellent progression of healing of the tibial fracture
Fig. 4. At 10-weeks there is radiographic union of both fractures
The cat was weight bearing the day after surgery and has gone on to have an uneventful recovery
Surgery was carried out by Duncan Barnes. Duncan is happy to discuss or give advice on all matters relating to small animal veterinary orthopaedics. Please phone 01793 528341 or email Eastcott Referrals
Examples of orthopaedic cases seen